List of other HSCA Exhibits
VOLUME 6
- FIGURE II-1
- FIGURE II-6
- FIGURE II-7
- FIGURE II-8
- Figure II-10
- FIGURE II-12
- FIGURE II-13 -- J.F.K. Wound locations
- FIGURE II-16
- FIGURE II-17
- FIGURE II-19
- FIGURE II-20
- FIGURE II-22
- FIGURE II-23
- FIGURE II-24
- FIGURE II-25
- FIGURE II-26
- FIGURE II-27
- FIGURE II-28
FIGURE III-2.--Effect of rifle tilt on apparent length.
- FIGURE III-6. -- Geometric relationship of camera to the rifle titled at an angle t.
- FIGURE III-7. -- Taking perspective into account in measuring distances of points off the centerline of the rifle bore, such as the butt, comb, trigger, and trigger guard.
- FIGURE III-4a.--MeCamy's Archives rifle photograph.
FIGURE III-4b.--McCamy's Archives rifle photograph.
- FIGURE III-4c. --McCamy's Archives rifle photograph.
- FIGURE III-4d. --McCamy's Archives rifle photograph.
- FIGURE III-4e. --McCamy's Archives rifle photograph.
- FIGURE III-4f. --McCamy's Archives rifle photograph.
- FIGURE III-4g. --McCamy's Archives rifle photograph.
- FIGURE III-4h. --McCamy's Archives rifle photograph.
- FIGURE III-4i. --McCamy's Archives rifle photograph.
- FIGURE III-4j. --McCamy's Archives rifle photograph.
- FIGURE III-4k. --McCamy's Archives rifle photograph.
- FIGURE III-4l. --McCamy's Archives rifle photograph.
- FIGURE III-4m. --McCamy's Archives rifle photograph.
- FIGURE III-4n. --McCamy's Archives rifle photograph.
- FIGURE III-4o. --McCamy's Archives rifle photograph.
- FIGURE III-4p. --McCamy's Archives rifle photograph.
- FIGURE III-4q. --McCamy's Archives rifle photograph.
- FIGURE III-4r. --McCamy's Archives rifle photograph.
- FIGURE III-4s. --McCamy's Archives rifle photograph.
- FIGURE III-4t. --McCamy's Archives rifle photograph.
- FIGURE III-4u. --McCamy's Archives rifle photograph.
- FIGURE IV-l.-Dillard photograph (unenhanced).
- FIGURE IV-2.-Autoradiographic enhancement--Dillard photograph.
- FIGURE IV-9.-Willis No. 6 photograph
- FIGURE IV 12.-Classic gunman image (Nix film) Top: Unenhanced. Bottom: Enhanced.
- FIGURE IV-13.-Classic gunman image (Nix film) Top: Unenhanced. Bottom: Enhanced.
- FIGURE A l.--Viewing angles for Dillard and Powell photographs.
- FIGURE B-l.--Head Size Calculation (Zapruder 423).
- FIGURE IV-20.- 133-A (de Mohrenschildt) (front).
- FIGURE IV-21.--133-A (de Mohrenschildt) (reverse).
- FIGURE IV-22.
- FIGURE IV-23.--CE-134 (front).
- FIGURE IV-24.--CE-134 (back).
FIGURE IV-25.--CE-750. Imperial Reflex camera.
- FIGURE IV-36.--Third backyard picture pose "133-C."
- FIGURE IV-38.--Effect of postural and facial expression variations on statural and facial measurements taken from photographs.
- FIGURE RIT O-l.--Identification of the three different views of Oswald in a backyard and the only negative recovered.
- FIGURE RIT O-2.--An enlarged copy print of original print CE-133B.
- FIGURE RIT O-3.--An enlarged copy print of original print CE-133A.
- FIGURE RIT 2-l.--Comparison of edge markings on a print made by the FBI from Archives negative CE-749 (outside edge of black line) and a print made from the same negative at RIT (inside edge).
- FIGURE RIT 2-2.--Comparison of edge markings on a print made b 5 the FBI from a negative exposed in the Oswald camera by the FBI (outside edge) and a print of Oswald made from Archives negative CE-749 by the FBI (inside edge).
- FIGURE RIT 2-3.Comparison of edge markings on a negative exposed in the Oswald camera at RIT (outside edge) and the Archives negative of Oswald, CE-749, (inside edge).
- FIGURE RIT 3-1.--Comparison of edge markings on a negative exposed in an Imperial Reflex duo lens camera owned by the international Museum of Photography at the George Eastman House (inside edge) and a negative exposed in the Oswald camera at R/T (outside edge).
- FIGURE RIT 4-1.--Photograph made in the Oswald camera at RIT illustrating curvature of field of the camera lens. The camera is focused behind the wall in the center and in front of the wall at the edges. The sharpest focus at the wall is in a circular area midway between the center and the edges.
- FIGURE RIT 5-1A.--Print made from the negative of Oswald (CE-749) for scratch comparison with a negative exposed in the Oswald camera at RIT. Four prominent scratches were found to be in the same locations on both prints.
- FIGURE RIT 5-1B.--Print made from a negative exposed in the Oswald camera at RIT, at the same scale of reproduction as the accompanying print made from the negative of Oswald.
- FIGURE RIT 6-lB.--Print made from a negative exposed in the second IMPGEH camera. Only faint, transient scratches were produced by this camera.
- FIGURE RIT 9-1A.--Enlarged print on normal-contrast photographic paper from the negative of Oswald (CE-749), used to determine if there are any differences in the grain pattern in the areas of the body, head, and background. No inconsistencies were detected.
- Figure RIT 9-1B.--Enlarged transparency on high-contrast photographic film for grain pattern check. No inconsistencies were detected. (The original transparency provides the best detail when viewed by transmitted light.)
- FIGURE RIT 11.--Four photographs made to demonstrate that the change in the position of the nose shadow produced by tilting the head can be nullified by rotating the head as an explanation for the similarity in the positions of Oswald's nose shadow in views CE-133A and CE-133B.
- FIGURE RIT 12-1.--Photographic copy of the reproduction of print of Oswald (CE-133A) in the book "JFK: The Case for Conspiracy" in which the authors claim the chin has been transplanted.
- FIGURE RIT 14-1A.--Enlargement of a section of view CE-133B which shows what appears to be a wire or branch running through the shadow area to the right of Oswald's neck which Mr. Thompson claimed had been added to the photograph, producing an irregularity in the left edge of the post.
- FIGURE RIT 21-1A.--Superimposed normal-contrast green and magenta transparencies of pairs of the three views of Oswald reveal obvious color differences only in the large areas of disparity in the background and under the head. This is the procedure used in a CBC film to demonstrate that the heads on the photographs are identical. Above, CE-133A and CE-133B. (The original transparencies should be viewed by transmitted light. They are on file in the National Archives.)
- FIGURE RIT 21-1B.--CE-133B and CE-133C.
- FIGURE RIT 21-1C.--CE-133A and CE-133C.
- FIGURE RIT 21-1D.--Both the green and the magenta transparencies were made from CE-133A to demonstrate that no color differences are seen even in the background with identical images.
- FIGURE RIT 22-1A.--An original photographic print that was copied with the Oswald camera to determine if the reproduction (following illustration) would be acceptable as an original photograph.
- FIGURE RIT 22-1B.--A Copy photograph made with the Oswald camera that has characteristics of an original photograph including the camera scratch pattern. The left border of the original print shows even though it was not visible in the camera viewfinder; the photograph also reveals exaggerated pincushion distortion due to use of a supplementary lens over the camera lens.
- FIGURE IV-39.--Diagram of Measurements Set Forth in Table I.
- FIGURE IV--41.--Undated studio photographs of Joseph Milteer.
- Figure IV-42.--A 3 x 3-inch snapshot of Milteer seated in chair. A 1957 calendar appears in the background.
- Figure IV 44.--A 3.5 x 5.5-inch black-and-white photograph of Milteer standing beside an unidentified elderly woman. It is undated, but is said to have been taken in the early 1970's when Milteer was about 70 years old.
- FIGURE IV-44.--Photograph of Joseph Milteer taken in early 1970's.
- FIGURE IV-46.--Enlarged enhancements of spectator from Altgens photograph.
- FIGURE IV-47.--Derivation of the vanishing point (C) and the horizontal reference line (HRL) from the Altgens photograph, using masonry lines and the northwest corner of the Dallas County Records Building as the vertical reference line (VRL).
- FIGURE IV 49.--Spectator's stature relative to other bystanders.
- FIGURE IV-50.
- FIGURE IV-51.
- FIGURE IV-52.
- FIGURE IV-53.
- FIGURE IV-54.
- FIGURE IV-55.
- FIGURE IV-56.
- FIGURE IV-57.
- FIGURE IV-58.
- FIGURE IV-59.
- FIGURE IV-62.--Penrose Size and Shape coefficients Calculated From Facial Indices of Lee Harvey Oswald and Lovelady Photographs. Origin of the Graph Represents Dallas Arrest Photographs.
- FIGURE IV-64.--New Orleans arrest picture of Oswald in front of height chart.
- FIGURE IV-67.--Photographic evidence evaluated in Robert Groden's shirt analysis.
- FIGURE IV-68.---Enlargement of spectator's face. Altgens A.P.--World Wide Photos 291
- FIGURE IV-69.--Oswald arrest in Dallas.
- FIGURE IV-70.--Billy Nolan Lovelady circa 1959-63.
VOLUME 7
- FIGURE 1.--Photograph of the suit jacket, taken from the back, showing the bullet hole entrance.
- FIGURE 5.-Close-up photograph of the entrance wound in the upper back.
- FIGURE 8.--Drawing of the anterior neck and thorax, showing the general location and appearance of the tracheotomy incision.
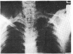
- FIGURE 10.--Photograph of an anterior-posterior X-ray of the neck and chest (from autopsy X-ray No. 8), showing small radiopaque densities adjacent to the transverse process of C-6 and C-7.
- FIGURE. 11.--Photograph of the anterior-posterior X-ray of the neck and chest (from film No. 9), showing small radiopaque densities adjacent to the transverse process of C-6 and 0-7.
- FIGURE 12.-Drawing of the lateral cross-section of the chest, depicting the visceral and parietal pleura, lower neck and right lung, with the injuries described to them. Also depicted is a drawing demonstrating the possible trajectories through the neck of President Kennedy, depending on the position of the body.
- FIGURE 22.--Photograph of the posterior view of a human skull on which the autopsy pathologists, Drs. Humes, Boswell, and Finck, identified the approximate location of the entrance wound. The two initialed circles on the lower portion of the skull and to the right of the midline represent the general area where the autopsy doctors believe the entrance wound to be.
- FIGURE 24. - A drawing of the posterior view of a human body depicting the location of the entrance wounds in the head and the upper back.
- FIGURE 27.--Photograph of the interior surface of the Harper bone fragment.
- FIGURE 28.--Photograph of the exterior surface of the Harper bone fragment.
- FIGURE 31.--A drawing of a profile view of President Kennedy, showing the internal anatomic structures and the location of the entrance and exit wounds to the head (the entrance wound is only partially visible).
- FIGURE 33.--Photograph of the back of Governor Connally's suit jacket, showing the posterior entry hole.
- FIGURE 36.--Photograph of the front of Governor Connally's suit jacket, showing the location of the anterior exit bullet hole.
- FIGURE 39.--Photograph of an X-ray of the wrist, showing the extent of the fracture and missile fragmentation.
- FIGURE 40.--Photograph of an X-ray of the wrist, showing the extent of the fracture and missile fragmentation.
- FIGURE 47.--Drawing of an entry wound caused by a tumbling or yawing missile.
- Wecht exhibits 1,2, 3,4 5,6. Photographs demonstrating the physical relationship between President Kennedy and Governor Connally.
- Wecht exhibits 7, 8, and 9 Photographs demonstrating the degree of deformity of bullet CE 399.
- Wecht exhibit 10. Photograph displaying ammunition identical to CE 399, fired under the auspices of the Warren Commission in 1964.
- Wecht exhibit 11. Photograph of a sketch illustrating the positions of the occupants in the presidential limousine.
- FIGURE 1.--Panel test-fired bullets from the CE 139 rifle.
- FIGURE 2.--cartridge cases test-fired in the CE 139 rifle by the panel. Note the dent on the mouth of case No. 2, similar to the dent on the CE
- FIGURE 3B.--The CE 139 6.5-millimeter caliber Mannlicher-Carcano rifle. serial No. D2766, left side.
- FIGURE 5.--Damaged CE 135 windshield removed from the Presidential limousine, front view.
FIGURE 6A. -- CE 399, the fired 6.5--millimeter caliber full metal-jacketed bullet found on a stretcher in the emergency area of Parkland Memorial Hospital, side view.
- FIGURE 6B.-- CE 399, the fired 6.5-millimeter caliber full metal-jacketed bullet found on a stretcher in the emergency area of Parkland Memorial Hospital, view of the base portion, showing distortion.
- FIGURE 7.-- CE 542, a 6.5-millimeter caliber Mannlicher-Carcano rifle, serial No. UC 5209, purchased by the FBI for comparison purposes.
- FIGURE 15.--CE 575, the brass cartridge clip removed from the CE 139 rifle.
- FIGURE 19.--The Lester bullet, a fired soft- or hollow-pointed, metal-jacketed bullet found in 1974 by Richard Lester about 500 yards from the depository near the Triple overpass.
- FIGURE 20.--Photomicrograph showing the correspondence between the individual identifying characteristics on the side of the CE 141 cartridge (L) and on panel unfired test cartridge No. 4 (R), produced by the magazine follower of the CE 139 rifle.
- FIGURE 21A.--Photomicrograph showing the correspondence between the individual identifying characteristics on the CE 543 cartridge case (L) and on panel Kennedy T-1 (R), produced by the firing pin of the CE 139 rifle.
- FIGURE 21B.--Photomicrograph showing the correspondence between the individual identifying characteristics on the CE 543 cartridge case (L) and those on the panel Kennedy T-3 (R), produced by the extractor of the CE 139 rifle.
- FIGURE 21C.--Photomicrograph showing the correspondence between the individual identifying characteristics on the CE 544 cartridge case (L) and those on panel Kennedy T-l (R) produced by the bolt face of the CE 139 rifle.
- FIGURE 21D.--Photomicrograph showing the correspondence between the individual identifying characteristics on the CE 545 cartridge case (L) and those on panel Kennedy T-3 (R), produced by the bolt face of the CE 139 rifle.
- FIGURE 22A.--Photomicrograph showing the correspondence between the individual identifying characteristics on the CE 399 bullet (L) and those on CE 572-K1A bullet (R), test-fired by the FBI in the CE 139 rifle.
- FIGURE 22B.--Photomicrograph showing the correspondence between the individual identifying characteristics on the CE 399 bullet (L) and those on the CE 572-K1A bullet (R), test-fired by the FBI in the CE 139 rifle.
- FIGURE 23A.--Photomicrograph showing the correspondence between the individual identifying characteristics on the CE 567 bullet fragment (L) and those on CE 572-K1A (R), test-fired by the FBI in the CE 139 rifle.
- FIGURE 23B.--Photomicrograph showing the correspondence between the individual identifying characteristics on the CE 567 bullet fragment (L) and those on CE 572-K1B (R), test-fired by the FBI in the CE 139 rifle.
- FIGURE 24A.--Photomicrograph showing the correspondence between the individual identifying characteristics on the CE 569 bullet fragment (L) and CE 572-K1A bullet (R), test-fired by the FBI in CE 139 rifle.
- FIGURE 24B.--Photomicrograph showing the correspondence between the individual identifying characteristics on the CE 569 bullet fragment (L) and the CE 572-K1B bullet (R), test-fired by the FBI in the CE 139 rifle.
- FIGURE 25.--A 7.65-millimeter caliber Argentine Maurer rifle, Model 1891.
- FIGURE 26A.--CE 143. Oswald's .38 special caliber Smith and Wesson revolver, Victory model, serial No. V510210, right side.
- FIGURE 26B.--CE 143, Oswald's .38 special caliber Smith and Wesson revolver, Victory model, serial No. V510210, left side.
- FIGURE 27.--CE 518, four .38 special caliber cartridges, designated Q78-Q81 by the FBI, found in Oswald's revolver. Q78 and Q79 have copper-coated (Lubaloy), lead, round-nose bullets; Q80 and Q81 have plain lead, round-nose bullets.
- FIGURE 28.--CE 592, five .38 special caliber cartridges of Western Cartridge Co. manufacture, with copper-coated (Lubaloy), lead, round-nose bullets, designated Q82-Q86 by the FBI. The cartridges were found in Oswald's trouser pocket.
- FIGURE 29.--CE 594, four expended cartridge cases recovered from the scene of the Tippit murder, designated Q74-Q77 by the FBI. Q75 and Q76 of Western Cartridge Co. manufacture, Q74 and Q77 are of Remington Arms manufacture.
- FIGURE 30.--CE 595, two cartridge cases, test-fired by the FBI in the CE 143 revolver. K3-1 is .38 special caliber of Winchester Repeating Arms manufacture. K3-2 is of Western Cartridge Co. manufacture; it has a split in the side, at the point of the bulge along the top side of the case.
- FIGURE 31.--CE 602, .one .38 special caliber copper-coated (Lubaloy), lead, roundnose bullet, and one damaged brass-colored garment button with the lettering "City of Dallas," removed from the body of Officer Tippit. The bullet shows impact damage caused by striking the button and Officer Tippit's body.
- FIGURE 32.--CE 603, one .38 special caliber copper-coated (Lubaloy), lead, round-nose bullet, removed from the body of Officer Tippit.
- FIGURE 33.--CE 604, one .38 special caliber lead, round-nose bullet,
- FIGURE 34.--CE 605, one .38 special caliber copper-coated (Lubaloy), lead, round-nose bullet, removed from the body of Officer Tippit.
- FIGURE 35A.--Panel Tippit T-1: One .38 special caliber lead bullet of RemingtonPeters manufacture, test-fired from CE 139 by the panel into a Horizontal Water Recovery Tank.
- FIGURE 35B.--Panel Tippit T-2: one .38 special caliber lead bullet of RemingtonPeters manufacture, test-fired from CE 143 by the panel into a Horizontal Water Recovery Tank.
- FIGURE 35C.--Panel Tippit T-3:1.38 special caliber copper-coated (Lubaloy), lead, round-nose bullet of Western Cartridge Co. manufacture, test-fired from CE 143 by the panel into a Horizontal Water Recovery Tank.
- FIGURE 35D.--Panel Tippit T-4:1.38 special caliber copper-coated (Lubaloy), lead, round-nose bullet of Western Cartridge, Co. manufacture, test-fired from CE 143 into a Horizontal Water Recovery Tank.
- FIGURE 35E.--Panel Tippit T-l--T-4: Four expended .38 special caliber cartridge cases. Tippit T-1 and T-2 are of Remington-Peters manufacture: Tippit T-3 and T4 are of Western Cartridge Company; all are fired in the CE 143 revolver.
- FIGURE 36A.--Photomicrograph showing the correspondence between the individual identifying characteristics on the CE 594 (Q74) cartridge case (L) and the panel Tippit T-1 cartridge case (R), produced by the breech face of the CE 143 revolver.
- FIGURE 36B.--Photomicrograph showing the correspondence between the individual identifying characteristics on the CE 594 (Q75) cartridge case (L) and the panel Tippit T-1 cartridge case (R), produced by the breech face of the CE 143, revolver.
- FIGURE 36C.--Photomicrograph showing the correspondence between the individual identifying characteristics on the CE 594 (Q76) cartridge case (L) and the Tippit T-1 cartridge case (R), produced by the breech face of the CE 143 revolver.
- FIGURE. 37A.--Ruby'S .38 special caliber Colt Cobra revolver, serial. No. 2744 LW, right side.
- FIGURE 37B.--Ruby'S .38 special caliber Colt Cobra revolver, serial No. 2744, LW, left side.
- FIGURE 38A.--Panel Ruby T-1 and T-2: Two .38 special caliber cartridges of Remington-Peters manufacture, with 158-grain, lead, round nose bullets, testfired by the panel from Jack Ruby's revolver into a horizontal recovery tank.
Volume 8